Qu'est-ce que l'échographie transvaginale et quand est-elle effectuée?

Il existe de nombreuses méthodes de diagnostic des maladies gynécologiques, et celles qui permettent d’obtenir des images sont parmi les plus utilisées. L’échographie transvaginale, grâce à sa technique simple, bénéfique et indolore, est l’une des plus utilisées.
Elle est effectivement très utile pour détecter des conditions importantes telles que le décollement placentaire, le placenta praevia et les problèmes de liquide amniotique. Si vous souhaitez en savoir davantage, nous vous invitons à poursuivre la lecture.
Échographie transvaginale

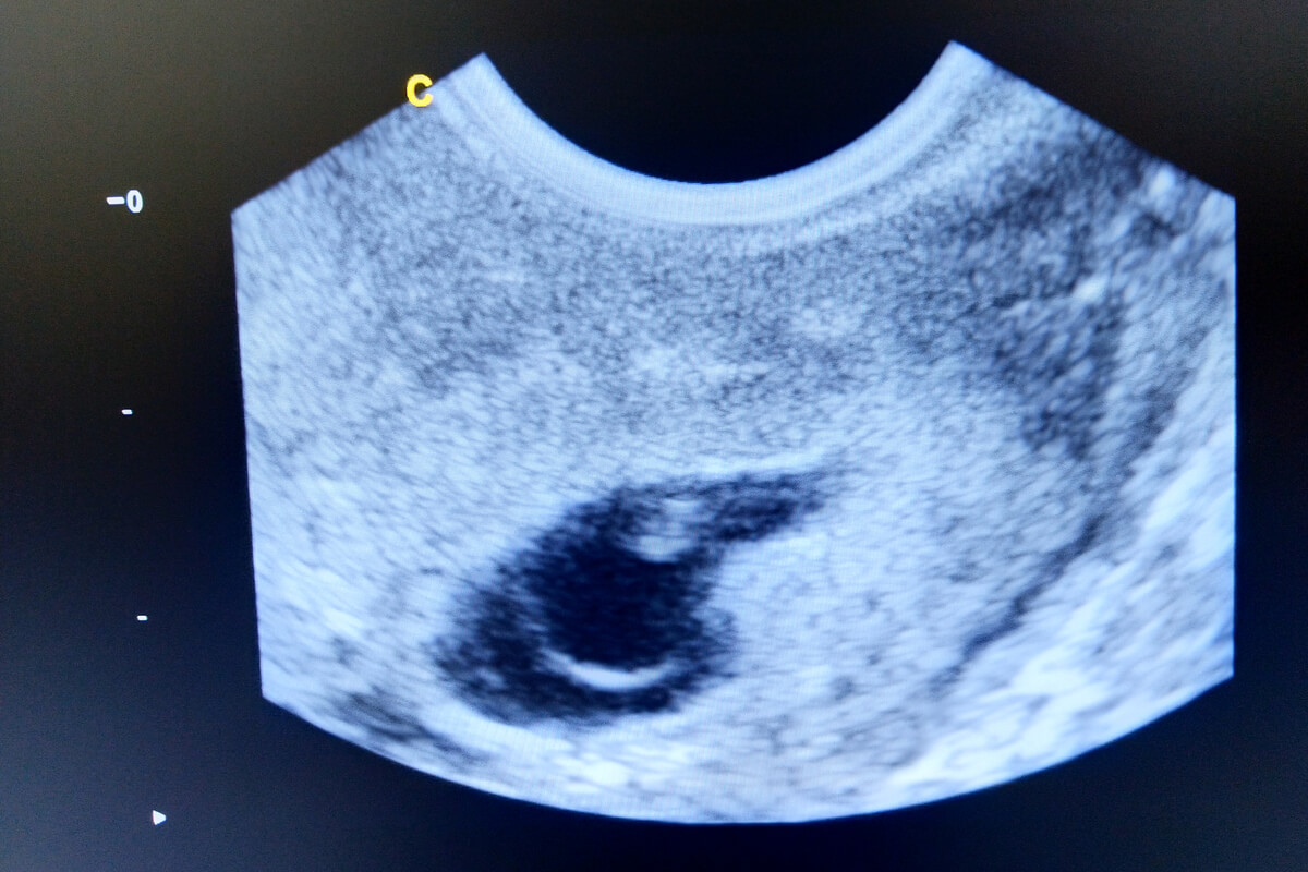
L’échographie est une technique basée sur l’émission et la capture ultérieure d’ondes sonores à haute fréquence. Pour ce faire, le médecin place un appareil appelé transducteur sur le corps de la patiente, toujours à l’aide d’une fine couche de gel qui facilite la technique.
Ledit transducteur émet des ondes sonores -inaudibles pour l’être humain- qui entrent ensuite en collision avec la surface d’organes solides. A ce moment, l’onde est renvoyée vers le transducteur. Grâce à un ordinateur intégré, une image bidimensionnelle ou tridimensionnelle est créée et le médecin l’interprète.
Cette méthode d’imagerie diagnostique est très courante dans les centres de santé. L’échographie transvaginale n’est rien de plus qu’une modalité spécifique dans laquelle on obtient des images plus claires du système reproducteur féminin, contrairement à l’échographie abdominale typique.
Lisez également: Echographies pendant la grossesse: informations utiles
Quelle est son utilité?
Étant un examen courant, la chose commune est que le gynécologue vous l’indique lorsque cela est nécessaire. Il est utile aussi bien pendant la grossesse qu’en dehors et permet le diagnostic d’une grande variété de maladies.
Les avantages de cette technique, par rapport aux autres méthodes, sont son faible coût, sa facilité d’accès, sa rapidité, son absence d’émission de rayonnement et l’inconfort moindre pour la personne subissant l’échographie. En cas de présentation des altérations suivantes, il est probable que votre médecin réalise cet examen:
- Saignements utérins anormaux.
- Problèmes d’infertilité.
- Altérations du cycle menstruel.
- Suspicion de maladie inflammatoire pelvienne (fièvre, douleurs pelviennes, pertes vaginales…).
Bien entendu, elle est également utile pour confirmer une grossesse et pour le suivi échographique des premières semaines.
Comment se déroule l’échographie transvaginale?
L’échographie transvaginale est une technique très simple, il y a donc peu de préparation. Contrairement à l’écho abdominale, il n’est pas nécessaire de s’y rendre avec une vessie pleine. Car l’utérus et d’autres structures peuvent être perçus relativement facilement sans cette condition.
Une fois allongée sur la table gynécologique, le médecin introduira progressivement le transducteur -dont la forme est allongée- accompagné d’un peu de gel. Une fois qu’il atteint le col de l’utérus, il pourra lentement commencer à explorer les structures environnantes.
Cela peut sembler douloureux, mais ce n’est pas le cas. La plupart des patientes ne ressentent rien et certaines signalent un léger inconfort. Bien évidemment, cela est possible si l’entrée du vagin est perméable. L’échographie transvaginale est donc appliquée chez les femmes qui ont déjà eu leurs premiers rapports sexuels.
Découvrez aussi: Examens médicaux courants pendant la grossesse
Problèmes de grossesse rencontrés avec ce type d’examen

L’un des principaux objectifs de l’échographie transvaginale est de détecter les anomalies pendant la grossesse. En voici quelques-unes:
- Placenta praevia: dans cette pathologie, le placenta est situé anormalement, très près du col de l’utérus. Selon une publication de la Mayo Clinic, le principal symptôme est le saignement au cours du deuxième trimestre de la grossesse. Comme le risque de complications lors de l’accouchement est élevé, une césarienne est nécessaire au moment opportun.
- Problèmes de liquide amniotique: aussi bien l’excès (polyhydramnios) que le déficit (oligoamnios) de cette substance peuvent être diagnostiqués grâce à cette méthode. Les causes sont très variées et peuvent orienter d’éventuelles malformations congénitales, selon certaines études.
- Grossesse extra-utérine: elle survient lorsque l’embryon commence à se développer en dehors de l’utérus de l’endomètre, de sorte que la grossesse ne peut pas avoir lieu. Les patientes présentent souvent des douleurs pelviennes sévères et des saignements au niveau des organes génitaux. C’est ce que révèle une publication de la National Library of Medicine des États-Unis.
- Décollement prématuré du placenta: il s’agit d’une urgence médicale dans laquelle le placenta se sépare des parois de l’utérus. Il met la vie du bébé en danger, car il interrompt rapidement l’apport d’oxygène et de nutriments.
Cette technique permet également la détection de malformations anatomiques dans l’utérus, en plus de la présence de tumeurs bénignes, comme les polypes.
L’échographie transvaginale, une technique très utile
Que vous soyez enceinte ou non, cette méthode d’imagerie peut vous aider. Votre médecin se chargera de vous l’indiquer. Par conséquent, en cas de présentation de l’une des altérations que nous venons de mentionner, une consultation précoce est l’option la plus courante.
Il existe de nombreuses méthodes de diagnostic des maladies gynécologiques, et celles qui permettent d’obtenir des images sont parmi les plus utilisées. L’échographie transvaginale, grâce à sa technique simple, bénéfique et indolore, est l’une des plus utilisées.
Elle est effectivement très utile pour détecter des conditions importantes telles que le décollement placentaire, le placenta praevia et les problèmes de liquide amniotique. Si vous souhaitez en savoir davantage, nous vous invitons à poursuivre la lecture.
Échographie transvaginale

L’échographie est une technique basée sur l’émission et la capture ultérieure d’ondes sonores à haute fréquence. Pour ce faire, le médecin place un appareil appelé transducteur sur le corps de la patiente, toujours à l’aide d’une fine couche de gel qui facilite la technique.
Ledit transducteur émet des ondes sonores -inaudibles pour l’être humain- qui entrent ensuite en collision avec la surface d’organes solides. A ce moment, l’onde est renvoyée vers le transducteur. Grâce à un ordinateur intégré, une image bidimensionnelle ou tridimensionnelle est créée et le médecin l’interprète.
Cette méthode d’imagerie diagnostique est très courante dans les centres de santé. L’échographie transvaginale n’est rien de plus qu’une modalité spécifique dans laquelle on obtient des images plus claires du système reproducteur féminin, contrairement à l’échographie abdominale typique.
Lisez également: Echographies pendant la grossesse: informations utiles
Quelle est son utilité?
Étant un examen courant, la chose commune est que le gynécologue vous l’indique lorsque cela est nécessaire. Il est utile aussi bien pendant la grossesse qu’en dehors et permet le diagnostic d’une grande variété de maladies.
Les avantages de cette technique, par rapport aux autres méthodes, sont son faible coût, sa facilité d’accès, sa rapidité, son absence d’émission de rayonnement et l’inconfort moindre pour la personne subissant l’échographie. En cas de présentation des altérations suivantes, il est probable que votre médecin réalise cet examen:
- Saignements utérins anormaux.
- Problèmes d’infertilité.
- Altérations du cycle menstruel.
- Suspicion de maladie inflammatoire pelvienne (fièvre, douleurs pelviennes, pertes vaginales…).
Bien entendu, elle est également utile pour confirmer une grossesse et pour le suivi échographique des premières semaines.
Comment se déroule l’échographie transvaginale?
L’échographie transvaginale est une technique très simple, il y a donc peu de préparation. Contrairement à l’écho abdominale, il n’est pas nécessaire de s’y rendre avec une vessie pleine. Car l’utérus et d’autres structures peuvent être perçus relativement facilement sans cette condition.
Une fois allongée sur la table gynécologique, le médecin introduira progressivement le transducteur -dont la forme est allongée- accompagné d’un peu de gel. Une fois qu’il atteint le col de l’utérus, il pourra lentement commencer à explorer les structures environnantes.
Cela peut sembler douloureux, mais ce n’est pas le cas. La plupart des patientes ne ressentent rien et certaines signalent un léger inconfort. Bien évidemment, cela est possible si l’entrée du vagin est perméable. L’échographie transvaginale est donc appliquée chez les femmes qui ont déjà eu leurs premiers rapports sexuels.
Découvrez aussi: Examens médicaux courants pendant la grossesse
Problèmes de grossesse rencontrés avec ce type d’examen

L’un des principaux objectifs de l’échographie transvaginale est de détecter les anomalies pendant la grossesse. En voici quelques-unes:
- Placenta praevia: dans cette pathologie, le placenta est situé anormalement, très près du col de l’utérus. Selon une publication de la Mayo Clinic, le principal symptôme est le saignement au cours du deuxième trimestre de la grossesse. Comme le risque de complications lors de l’accouchement est élevé, une césarienne est nécessaire au moment opportun.
- Problèmes de liquide amniotique: aussi bien l’excès (polyhydramnios) que le déficit (oligoamnios) de cette substance peuvent être diagnostiqués grâce à cette méthode. Les causes sont très variées et peuvent orienter d’éventuelles malformations congénitales, selon certaines études.
- Grossesse extra-utérine: elle survient lorsque l’embryon commence à se développer en dehors de l’utérus de l’endomètre, de sorte que la grossesse ne peut pas avoir lieu. Les patientes présentent souvent des douleurs pelviennes sévères et des saignements au niveau des organes génitaux. C’est ce que révèle une publication de la National Library of Medicine des États-Unis.
- Décollement prématuré du placenta: il s’agit d’une urgence médicale dans laquelle le placenta se sépare des parois de l’utérus. Il met la vie du bébé en danger, car il interrompt rapidement l’apport d’oxygène et de nutriments.
Cette technique permet également la détection de malformations anatomiques dans l’utérus, en plus de la présence de tumeurs bénignes, comme les polypes.
L’échographie transvaginale, une technique très utile
Que vous soyez enceinte ou non, cette méthode d’imagerie peut vous aider. Votre médecin se chargera de vous l’indiquer. Par conséquent, en cas de présentation de l’une des altérations que nous venons de mentionner, une consultation précoce est l’option la plus courante.
Toutes les sources citées ont été examinées en profondeur par notre équipe pour garantir leur qualité, leur fiabilité, leur actualité et leur validité. La bibliographie de cet article a été considérée comme fiable et précise sur le plan académique ou scientifique
- Remón C, et al. Transvaginal-Ultrasonic-Anatomopatological Clinical Study in the
gynecological conditions. Multimed 2013;17(4):1-11. - San Martín J, et al. Polihidramnios y su relación con anomalías congénitas. Ginecología y Obstetricia 1995;41(2). Disponible en: https://sisbib.unmsm.edu.pe/bvrevistas/ginecologia/vol_41n2/polihidramnios.htm
- Mayo Clinic staff. (n.d.). Placenta previa. Mayo Clinic. https://www.mayoclinic.org/es-es/diseases-conditions/placenta-previa/symptoms-causes/syc-20352768#:~:text=La%20placenta%20previa%20ocurre%20cuando,el%20embarazo%20y%20el%20parto.
- MedlinePlus staff. (n.d.). Embarazo ectópico. MedlinePlus. https://medlineplus.gov/spanish/ency/article/000895.htm
- Mayo Clinic staff. (n.d.). Desprendimiento de placenta. Mayo Clinic. https://www.mayoclinic.org/es-es/diseases-conditions/placental-abruption/symptoms-causes/syc-20376458
Ce texte est fourni à des fins d'information uniquement et ne remplace pas la consultation d'un professionnel. En cas de doute, consultez votre spécialiste.







