Hypoplasie dentaire chez les enfants : symptômes, causes et traitement

Les anomalies et défauts des dents sont des troubles qui touchent de nombreux enfants et qui inquiètent leurs parents. Un exemple de ceci est l’hypoplasie dentaire chez les enfants.
Ce problème dans les dents altère non seulement leur aspect esthétique mais les prédispose également à souffrir d’autres problèmes, tels que les caries ou la sensibilité des dents.
C’est pourquoi il est important de poser un diagnostic précoce et d’effectuer un traitement en temps opportun. D’une part, pour améliorer la qualité de vie de l’enfant et d’autre part, pour éviter des problèmes futurs. Poursuivez votre lecture !
Qu’est-ce que l’hypoplasie dentaire chez l’enfant ?
L’hypoplasie dentaire chez les enfants est un problème dans le développement de l’émail. Ceux qui souffrent de cette condition ont une ou plusieurs dents avec une plus petite quantité de ce tissu ou avec une mauvaise qualité.
En général, cela se produit lorsque l’élément dentaire est en formation, c’est-à-dire avant qu’il ne sorte dans la bouche. Par conséquent, il est courant qu’on détecte l’hypoplasie à un âge précoce, lorsque les dents viennent de sortir.
Pour mieux comprendre ce trouble, il est pertinent de savoir que l’émail est le tissu le plus externe et superficiel des éléments dentaires. Il se compose en grande partie de cristaux de calcium et d’autres minéraux, et on le considère comme le matériau le plus dur et le plus résistant du corps. Sa fonction principale est de couvrir et de protéger les dents.
Ainsi, dans une hypoplasie dentaire, l’émail est insuffisant ou fragilisé. Comme nous vous le dirons plus tard, différents facteurs peuvent altérer le processus de développement des éléments dentaires et causer ce problème.
L’apparition de l’hypoplasie dentaire chez les enfants varie en fonction de la gravité du problème. Dans certains cas, il est très évident et d’autres fois, il n’est détecté que par l’œil expert du dentiste pédiatrique. Examinons de plus près ses manifestations.

Quels sont les symptômes de l’hypoplasie dentaire chez les enfants ?
Comme nous l’avons déjà mentionné, la gravité de l’hypoplasie dentaire chez les enfants peut varier. Les degrés légers peuvent être discrets et ne peuvent être détectés que par le dentiste.
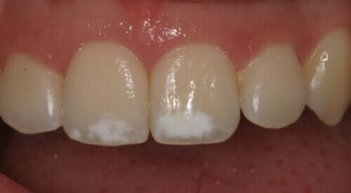
Mais, dans d’autres cas, ce sont les parents qui remarquent les manifestations du problème dans les dents de leurs petits. Des taches ou des points blancs, des lignes, des fissures, des rainures ou des bosses peuvent être observés sur la surface de l’émail. De plus, la texture du défaut est rugueuse et terne.
Il existe des cas dans lesquels l’hypoplasie dentaire chez les enfants semble jaunâtre ou brunâtre car la dentine sous-jacente est à découvert. Et, dans des cas plus rares, la forme de la dent peut se modifier. Lorsque le trouble est très grave, il peut même y avoir une absence totale d’émail et les dents semblent plus petites et plus déformées que les autres.
Comme l’émail est compromis, certaines complications supplémentaires peuvent survenir, telles que des dents molles, une sensibilité dentaire et une plus grande prédisposition aux caries et à la gingivite. En effet, en ayant moins de protection contre les acides et une plus grande présence de défauts structurels, la rétention de la plaque dentaire est facilitée.
Causes de l’hypoplasie dentaire
Il est parfois difficile de trouver la cause de l’hypoplasie dentaire chez les enfants. En effet, le problème survient lors du développement de l’élément dentaire dans la gencive.
La plupart du temps, des situations ou des conditions qui surviennent dans les premières années de la vie de l’enfant causent ce problème. Voici quelques-unes des circonstances courantes qui peuvent causer une hypoplasie de l’émail :
- Problèmes pendant la grossesse : les éléments dentaires commencent à se former alors que l’enfant est encore dans l’utérus. Certaines maladies de la mère, telles que les infections avec une forte fièvre, la consommation de certains médicaments ou des carences nutritionnelles pendant la grossesse peuvent provoquer une hypoplasie dentaire chez le fœtus en développement.
- Problèmes de la petite enfance : naissances prématurées, faible poids à la naissance, carence en vitamines, malnutrition, infections, syndromes fébriles prolongés ou maladies systémiques à un âge précoce peuvent être à l’origine de cette malformation dentaire.
- Traumatismes : les coups sur la bouche pendant l’enfance peuvent affecter l’élément de la dent de lait et, par sa racine, blesser le germe de la dent permanente qui se forme en dessous. La pièce définitive sera celle qui présentera une hypoplasie lors de son éruption.
- Hérédité : certains modèles génétiques héréditaires peuvent affecter la formation des dents. Parfois, cela se produit dans une seule dent et d’autres fois, plusieurs éléments sont impliqués. Dans certains cas, on l’associe même à d’autres symptômes qui composent un syndrome plus complexe.
Traitement de l’hypoplasie dentaire chez les enfants
La détection précoce de l’hypoplasie dentaire chez les enfants permet de traiter le problème avant que les complications n’apparaissent. Par conséquent, des consultations et des contrôles réguliers avec le dentiste pédiatrique sont essentiels.
Lors des examens de routine, le professionnel sera en mesure de trouver toute preuve du défaut et d’agir rapidement. Il privilégiera certaines procédures en fonction du type de dentition touchée (dents de lait ou permanentes), ainsi que la taille et l’aspect de la lésion.
Le dentiste a plusieurs alternatives pour traiter l’hypoplasie dentaire chez les enfants. Lorsque les défauts apparaissent dans les dents de lait, il choisit généralement de contrôler la situation, de maintenir une hygiène bucco-dentaire exhaustive et de faire des applications topiques fréquentes avec du fluor. De cette façon, on essaie d’éviter les complications de la maladie, telles que les caries, la gingivite et la sensibilité.
Si l’estime de soi de l’enfant est grandement affectée par l’apparence de ses dents, il peut recourir à une intervention esthétique adaptée à son âge.
Dans le cas de pièces dentaires définitives, on opte généralement pour l’utilisation de scellants. On recouvre ainsi les imperfections d’un matériau de remplissage de la même couleur que les dents en bon état.
Lorsque les taches sont très visibles, on peut avoir recours à la microabrasion dentaire. Il s’agit d’une procédure à travers laquelle on polit l’émail dentaire puis on le recouvre de résines de la même couleur que la dent normale.
Dans les situations les plus sévères, où les dents ont perdu une grande partie de leur émail ou sont déformées, les reconstructions avec des résines sont appropriées. Au moins jusqu’à ce que l’enfant atteigne l’âge approprié pour recourir à un autre type de traitement esthétique.
Le blanchiment des dents et les couronnes en porcelaine sont des traitements dentaires cosmétiques utiles pour améliorer l’apparence des dents présentant une hypoplasie dentaire. Mais on ne recommande pas leur utilisation avant l’âge adulte.

Agir rapidement
La plupart du temps, on ne peut pas prévenir l’hypoplasie dentaire chez les enfants. Mais si vous détectez des signes qui vous font soupçonner que votre tout-petit a ce problème, il est préférable de demander l’aide d’un professionnel dès que possible. En effet, plus tôt on la diagnostiquera et on la traitera, moins il y aura de risques de complications.
De plus, des soins de santé bucco-dentaire avec une bonne hygiène bucco-dentaire, une alimentation saine et des visites régulières chez le dentiste pédiatrique sont essentiels pour éviter les conséquences négatives. Ainsi, avec ces soins de base, vous pouvez protéger l’émail des dents de votre tout-petit et l’aider à avoir un sourire sain.
Les anomalies et défauts des dents sont des troubles qui touchent de nombreux enfants et qui inquiètent leurs parents. Un exemple de ceci est l’hypoplasie dentaire chez les enfants.
Ce problème dans les dents altère non seulement leur aspect esthétique mais les prédispose également à souffrir d’autres problèmes, tels que les caries ou la sensibilité des dents.
C’est pourquoi il est important de poser un diagnostic précoce et d’effectuer un traitement en temps opportun. D’une part, pour améliorer la qualité de vie de l’enfant et d’autre part, pour éviter des problèmes futurs. Poursuivez votre lecture !
Qu’est-ce que l’hypoplasie dentaire chez l’enfant ?
L’hypoplasie dentaire chez les enfants est un problème dans le développement de l’émail. Ceux qui souffrent de cette condition ont une ou plusieurs dents avec une plus petite quantité de ce tissu ou avec une mauvaise qualité.
En général, cela se produit lorsque l’élément dentaire est en formation, c’est-à-dire avant qu’il ne sorte dans la bouche. Par conséquent, il est courant qu’on détecte l’hypoplasie à un âge précoce, lorsque les dents viennent de sortir.
Pour mieux comprendre ce trouble, il est pertinent de savoir que l’émail est le tissu le plus externe et superficiel des éléments dentaires. Il se compose en grande partie de cristaux de calcium et d’autres minéraux, et on le considère comme le matériau le plus dur et le plus résistant du corps. Sa fonction principale est de couvrir et de protéger les dents.
Ainsi, dans une hypoplasie dentaire, l’émail est insuffisant ou fragilisé. Comme nous vous le dirons plus tard, différents facteurs peuvent altérer le processus de développement des éléments dentaires et causer ce problème.
L’apparition de l’hypoplasie dentaire chez les enfants varie en fonction de la gravité du problème. Dans certains cas, il est très évident et d’autres fois, il n’est détecté que par l’œil expert du dentiste pédiatrique. Examinons de plus près ses manifestations.

Quels sont les symptômes de l’hypoplasie dentaire chez les enfants ?
Comme nous l’avons déjà mentionné, la gravité de l’hypoplasie dentaire chez les enfants peut varier. Les degrés légers peuvent être discrets et ne peuvent être détectés que par le dentiste.
Mais, dans d’autres cas, ce sont les parents qui remarquent les manifestations du problème dans les dents de leurs petits. Des taches ou des points blancs, des lignes, des fissures, des rainures ou des bosses peuvent être observés sur la surface de l’émail. De plus, la texture du défaut est rugueuse et terne.
Il existe des cas dans lesquels l’hypoplasie dentaire chez les enfants semble jaunâtre ou brunâtre car la dentine sous-jacente est à découvert. Et, dans des cas plus rares, la forme de la dent peut se modifier. Lorsque le trouble est très grave, il peut même y avoir une absence totale d’émail et les dents semblent plus petites et plus déformées que les autres.
Comme l’émail est compromis, certaines complications supplémentaires peuvent survenir, telles que des dents molles, une sensibilité dentaire et une plus grande prédisposition aux caries et à la gingivite. En effet, en ayant moins de protection contre les acides et une plus grande présence de défauts structurels, la rétention de la plaque dentaire est facilitée.
Causes de l’hypoplasie dentaire
Il est parfois difficile de trouver la cause de l’hypoplasie dentaire chez les enfants. En effet, le problème survient lors du développement de l’élément dentaire dans la gencive.
La plupart du temps, des situations ou des conditions qui surviennent dans les premières années de la vie de l’enfant causent ce problème. Voici quelques-unes des circonstances courantes qui peuvent causer une hypoplasie de l’émail :
- Problèmes pendant la grossesse : les éléments dentaires commencent à se former alors que l’enfant est encore dans l’utérus. Certaines maladies de la mère, telles que les infections avec une forte fièvre, la consommation de certains médicaments ou des carences nutritionnelles pendant la grossesse peuvent provoquer une hypoplasie dentaire chez le fœtus en développement.
- Problèmes de la petite enfance : naissances prématurées, faible poids à la naissance, carence en vitamines, malnutrition, infections, syndromes fébriles prolongés ou maladies systémiques à un âge précoce peuvent être à l’origine de cette malformation dentaire.
- Traumatismes : les coups sur la bouche pendant l’enfance peuvent affecter l’élément de la dent de lait et, par sa racine, blesser le germe de la dent permanente qui se forme en dessous. La pièce définitive sera celle qui présentera une hypoplasie lors de son éruption.
- Hérédité : certains modèles génétiques héréditaires peuvent affecter la formation des dents. Parfois, cela se produit dans une seule dent et d’autres fois, plusieurs éléments sont impliqués. Dans certains cas, on l’associe même à d’autres symptômes qui composent un syndrome plus complexe.
Traitement de l’hypoplasie dentaire chez les enfants
La détection précoce de l’hypoplasie dentaire chez les enfants permet de traiter le problème avant que les complications n’apparaissent. Par conséquent, des consultations et des contrôles réguliers avec le dentiste pédiatrique sont essentiels.
Lors des examens de routine, le professionnel sera en mesure de trouver toute preuve du défaut et d’agir rapidement. Il privilégiera certaines procédures en fonction du type de dentition touchée (dents de lait ou permanentes), ainsi que la taille et l’aspect de la lésion.
Le dentiste a plusieurs alternatives pour traiter l’hypoplasie dentaire chez les enfants. Lorsque les défauts apparaissent dans les dents de lait, il choisit généralement de contrôler la situation, de maintenir une hygiène bucco-dentaire exhaustive et de faire des applications topiques fréquentes avec du fluor. De cette façon, on essaie d’éviter les complications de la maladie, telles que les caries, la gingivite et la sensibilité.
Si l’estime de soi de l’enfant est grandement affectée par l’apparence de ses dents, il peut recourir à une intervention esthétique adaptée à son âge.
Dans le cas de pièces dentaires définitives, on opte généralement pour l’utilisation de scellants. On recouvre ainsi les imperfections d’un matériau de remplissage de la même couleur que les dents en bon état.
Lorsque les taches sont très visibles, on peut avoir recours à la microabrasion dentaire. Il s’agit d’une procédure à travers laquelle on polit l’émail dentaire puis on le recouvre de résines de la même couleur que la dent normale.
Dans les situations les plus sévères, où les dents ont perdu une grande partie de leur émail ou sont déformées, les reconstructions avec des résines sont appropriées. Au moins jusqu’à ce que l’enfant atteigne l’âge approprié pour recourir à un autre type de traitement esthétique.
Le blanchiment des dents et les couronnes en porcelaine sont des traitements dentaires cosmétiques utiles pour améliorer l’apparence des dents présentant une hypoplasie dentaire. Mais on ne recommande pas leur utilisation avant l’âge adulte.

Agir rapidement
La plupart du temps, on ne peut pas prévenir l’hypoplasie dentaire chez les enfants. Mais si vous détectez des signes qui vous font soupçonner que votre tout-petit a ce problème, il est préférable de demander l’aide d’un professionnel dès que possible. En effet, plus tôt on la diagnostiquera et on la traitera, moins il y aura de risques de complications.
De plus, des soins de santé bucco-dentaire avec une bonne hygiène bucco-dentaire, une alimentation saine et des visites régulières chez le dentiste pédiatrique sont essentiels pour éviter les conséquences négatives. Ainsi, avec ces soins de base, vous pouvez protéger l’émail des dents de votre tout-petit et l’aider à avoir un sourire sain.
Toutes les sources citées ont été examinées en profondeur par notre équipe pour garantir leur qualité, leur fiabilité, leur actualité et leur validité. La bibliographie de cet article a été considérée comme fiable et précise sur le plan académique ou scientifique
- Gamboa Valdez, M. R. (2016). hipoplasia del esmalte en paciente de 6 años sexo masculino. analisis de caso (Bachelor’s thesis, Universidad de Guayaquil. Facultad Piloto de Odontología).
- Margot, N. C. A., & Rubén, M. S. (2014). Tratamiento estético conservador con microabrasión sobre hipoplasias del esmalte en dientes permanentes jóvenes. Revista Tamé, 271-274.
- Silva, S. M. B. D., Lanza, C. R. M., Oliveira, F. S. D., & Machado, M. A. D. A. M. (1999). Tratamiento de hipoplasia del esmalte con la técnica de microabrasión en odontopediatría. Revista Odontológica Dominicana, 5(1), 9-14.
- Molina Morales, H., & Galván Calle, M. (2008). TRATAMIENTO DE DIENTES PERMANENTES JÓVENESCON HIPOPLASIA DEL ESMALTE. REPORTE DE CASO.
- Páucar, M. Á., Gonzales, K. Q., Cruces, V. R., & Obregón, R. M. C. (2009). Microabrasión dental para pacientes odontopediátricos: Una alternativa estética. Odontología sanmarquina, 12(2), 86-89.
- Ancco Olaguivel, N. R. (2017). Relación de la ingesta de amoxicilina con la hipoplasia de esmalte en niños de 7-10 años del hospital Rafael Ortiz Ravinez Juli–2016.
- Salazar, J. F. T., & Ortega, D. R. (2017). Signos dentales de la sífilis congénita. Revista Asociación Dental Mexicana, 74(6), 286-292.
- Poma Torres, E. M. (2021). Manejo y protocolo de atención de la hipoplasia en niños (Bachelor’s thesis, Universidad de Guayaquil. Facultad Piloto de Odontología).
- Rivera Molina, D., & Jiménez del Río, P. (2015). Hipoplasia del esmalte y su asociación con caries en niños de 5 a 14 años, en la provincia de Talca, 2015 (Doctoral dissertation, Universidad de Talca (Chile). Escuela de Odontología.).
- Ochoa Enríquez, K. J. (2015). Hipoplasias localizadas en los primeros molares permanentes y su tratamiento (Bachelor’s thesis, Universidad de Guayaquil. Facultad Piloto de Odontología).
Ce texte est fourni à des fins d'information uniquement et ne remplace pas la consultation d'un professionnel. En cas de doute, consultez votre spécialiste.







