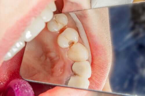
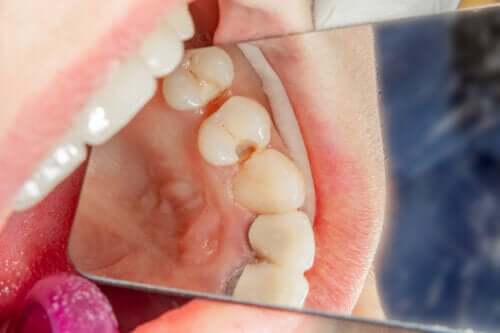
Dents de lait avec des caries : pourquoi vaut-il mieux les traiter que les retirer ?


Rédigé et vérifié par la dentiste Vanesa Evangelina Buffa
Il est courant que les parents se demandent s’il est vraiment nécessaire de soigner les dents de lait cariées de leurs enfants. Cette question se pose parce qu’après un certain temps, ces dents vont tomber. Mais la vérité est que la restauration de ces pièces est toujours la meilleure option pour diverses raisons. Idéalement, les enfants grandiront avec toutes leurs dents temporaires jusqu’à ce qu’elles tombent naturellement.
Bien que les dents de lait ne restent que pendant un certain temps dans la bouche, elles remplissent des fonctions importantes. Ne pas avoir ces dents peut avoir des conséquences négatives sur le développement de votre enfant. En ce sens, restaurer les dents de lait lorsqu’elles présentent des caries permet de les conserver jusqu’au moment de leur exfoliation. On vous l’explique en détail.
L’importance de traiter les dents de lait avec des caries
Les caries dentaires sont l’une des pathologies les plus fréquentes dans le monde. Selon l’étude Global Burden of Disease Study, en 2017, plus de 530 millions d’enfants avaient des caries dans leurs dents temporaires. Un rapport de 2018 de l’American Academy of Pediatric Dentists a révélé que 18 % des enfants âgés de 2 à 5 ans aux États-Unis avaient des caries. Ce chiffre passe à 45 % entre 6 et 11 ans. De plus, 15 % de ces lésions n’ont pas reçu le traitement dentaire correspondant.
Lorsque les caries dentaires ne sont pas traitées, elles peuvent entraîner des douleurs, des infections, des difficultés à mâcher et des problèmes de nutrition. De plus, les enfants atteints de cette pathologie éprouvent souvent des problèmes d’estime de soi et des difficultés à l’école en raison des inconforts associés.
Il est vrai que les dents de lait restent un temps limité dans la bouche des enfants, mais ce n’est pas une raison pour les négliger. Ce n’est pas non plus une raison pour les retirer prématurément. Les dents temporaires remplissent des tâches précises et leur perte précoce prive les enfants de plusieurs de ces fonctions si importantes pour leur croissance et pour le développement normal de leur vie quotidienne.
Voyons en détail les principales fonctions des dents de lait et pourquoi elles doivent être soignées si elles ont des caries.

Mastication
La mastication est une fonction très importante pour la vie de chacun, car notre alimentation correcte en dépend. L’apparition de dents temporaires dans la bouche des bébés les aide à apprendre à mâcher. Au fur et à mesure que l’enfant grandit, il peut utiliser cette compétence pour complexifier son alimentation et incorporer toutes sortes d’aliments.
Si les dents de lait cariées ne sont pas traitées rapidement, elles peuvent se casser, être perdues ou nécessiter une extraction. De plus, ne pas les traiter peut être associé à des problèmes nutritionnels chez les petits.
Parole
Les dents de lait sont également impliquées dans le développement de la parole. De nombreux phonèmes nécessitent la présence de dents pour sonner correctement. Le son “f” ou “s” par exemple, a besoin d’un appui dans les dents pour être produit. Par conséquent, si elles ne sont pas soignées, ou si elles sont perdues ou retirées, la prononciation de certains mots peut être compromise. Cela peut entraîner des problèmes scolaires, des difficultés de communication, des moqueries, de la gêne et un manque d’estime de soi.
Développement des mâchoires et guide jusqu’à l’éruption finale
Les dents de lait bien positionnées favorisent la croissance et le développement des mâchoires. Ces dents réservent l’espace dont les éléments permanents ont besoin pour sortir et être correctement positionnés dans l’arc. De plus, ne pas soigner les dents de lait ou les retirer prématurément peut déclencher des problèmes de morsure. En retirant prématurément les dents provisoires, les autres éléments de la bouche se mobilisent pour combler l’écart.
De plus, les dents tordues ou encombrées et d’autres problèmes d’occlusion sont associés à la perte prématurée des dents de lait. Si ces altérations apparaissent dans la zone de morsure, il faudra recourir à un traitement orthodontique pour les corriger.
Esthétique
L’esthétique est une autre fonction des dents de lait que les adultes ne prennent parfois pas en compte. Avoir toutes ses dents en bonne santé améliore l’apparence de l’enfant. On peut avoir l’impression que ce rôle n’est pas très important, mais avoir un sourire soigné évite les moqueries des autres enfants et améliore l’estime de soi et la confiance en soi.
Complications qui naissent du fait de ne pas soigner les dents de lait avec des caries
Ne pas traiter les dents de lait avec des caries en temps opportun peut entraîner certaines complications :
- Douleur : les dents cariées peuvent provoquer une sensibilité ou des douleurs lors de la mastication ou au contact d’aliments froids, chauds ou sucrés. Les élancements aigus et lancinants dans la bouche perturbent les activités quotidiennes de l’enfant, car il est incapable de manger, de jouer, d’apprendre ou de se reposer normalement.
- Infections : les abcès dans la zone radiculaire peuvent compliquer le développement des éléments définitifs qui se forment dans l’épaisseur de l’os. De plus, ils peuvent se propager à d’autres parties du corps et compromettre la santé générale de l’enfant.
- Plus de caries : ne pas traiter les caries des dents de lait génère des conditions bucco-dentaires qui favorisent la poursuite et le développement de la maladie dans les autres dents. Chez les enfants avec une dentition mixte, il existe un risque que la pathologie s’étende aux dents permanentes nouvellement sorties.

Soins dans les dents de lait avec caries
Lorsqu’il s’agit de soigner les dents de lait avec des caries, il existe différentes procédures en fonction des besoins du cas clinique particulier. Lorsque les caries commencent à peine, on peut avoir recours à des traitements de reminéralisation de l’émail. En revanche, si les lésions sont plus importantes et qu’il y a plus de perte de tissu dentaire, des plombages ou des couronnes seront nécessaires. De plus, si la carie a causé des dommages, il est nécessaire de recourir à des endodonties infantiles.
On n’a recours aux extractions dentaires que dans les cas où il n’est pas possible d’effectuer un traitement ou que les dommages à la dent présentent un plus grand risque pour l’enfant.
Quand ne peut-on pas traiter les dents de lait avec des caries ?
Une des raisons de ne pas traiter une dent de lait cariée est quand la dent bouge et est sur le point de sortir. Ce n’est que dans ce cas que le dentiste pédiatrique peut éviter le traitement et attendre que l’élément tombe – ou l’extraire pour éviter les complications. Dans tous les cas, s’il est décidé de ne pas traiter l’élément, il est important d’être conscient des complications possibles. Ce sera toujours le professionnel qui prendra la décision et contrôlera l’évolution du cas.
Le jugement du dentiste
Au moment de décider ce qui convient le mieux à chaque enfant, ce sera l’évaluation des particularités et des besoins de chaque cas qui conduira le dentiste pédiatrique à choisir le meilleur traitement. La meilleure option est de les traiter dès que possible pour éviter d’autres dommages. Sinon, laisser la maladie progresser entraîne des problèmes dans de nombreux aspects de la vie de l’enfant. Le professionnel peut suggérer d’attendre le remplacement dentaire sans faire de traitement, mais seulement si la dent bouge et est sur le point de tomber.
Il est important que les parents emmènent leurs enfants aux examens dentaires semestriels pour détecter à temps tout dommage aux dents. Un diagnostic précoce évite les désagréments et l’inconfort chez les enfants et la nécessité de traitements plus complexes et coûteux à l’avenir.
Il est courant que les parents se demandent s’il est vraiment nécessaire de soigner les dents de lait cariées de leurs enfants. Cette question se pose parce qu’après un certain temps, ces dents vont tomber. Mais la vérité est que la restauration de ces pièces est toujours la meilleure option pour diverses raisons. Idéalement, les enfants grandiront avec toutes leurs dents temporaires jusqu’à ce qu’elles tombent naturellement.
Bien que les dents de lait ne restent que pendant un certain temps dans la bouche, elles remplissent des fonctions importantes. Ne pas avoir ces dents peut avoir des conséquences négatives sur le développement de votre enfant. En ce sens, restaurer les dents de lait lorsqu’elles présentent des caries permet de les conserver jusqu’au moment de leur exfoliation. On vous l’explique en détail.
L’importance de traiter les dents de lait avec des caries
Les caries dentaires sont l’une des pathologies les plus fréquentes dans le monde. Selon l’étude Global Burden of Disease Study, en 2017, plus de 530 millions d’enfants avaient des caries dans leurs dents temporaires. Un rapport de 2018 de l’American Academy of Pediatric Dentists a révélé que 18 % des enfants âgés de 2 à 5 ans aux États-Unis avaient des caries. Ce chiffre passe à 45 % entre 6 et 11 ans. De plus, 15 % de ces lésions n’ont pas reçu le traitement dentaire correspondant.
Lorsque les caries dentaires ne sont pas traitées, elles peuvent entraîner des douleurs, des infections, des difficultés à mâcher et des problèmes de nutrition. De plus, les enfants atteints de cette pathologie éprouvent souvent des problèmes d’estime de soi et des difficultés à l’école en raison des inconforts associés.
Il est vrai que les dents de lait restent un temps limité dans la bouche des enfants, mais ce n’est pas une raison pour les négliger. Ce n’est pas non plus une raison pour les retirer prématurément. Les dents temporaires remplissent des tâches précises et leur perte précoce prive les enfants de plusieurs de ces fonctions si importantes pour leur croissance et pour le développement normal de leur vie quotidienne.
Voyons en détail les principales fonctions des dents de lait et pourquoi elles doivent être soignées si elles ont des caries.

Mastication
La mastication est une fonction très importante pour la vie de chacun, car notre alimentation correcte en dépend. L’apparition de dents temporaires dans la bouche des bébés les aide à apprendre à mâcher. Au fur et à mesure que l’enfant grandit, il peut utiliser cette compétence pour complexifier son alimentation et incorporer toutes sortes d’aliments.
Si les dents de lait cariées ne sont pas traitées rapidement, elles peuvent se casser, être perdues ou nécessiter une extraction. De plus, ne pas les traiter peut être associé à des problèmes nutritionnels chez les petits.
Parole
Les dents de lait sont également impliquées dans le développement de la parole. De nombreux phonèmes nécessitent la présence de dents pour sonner correctement. Le son “f” ou “s” par exemple, a besoin d’un appui dans les dents pour être produit. Par conséquent, si elles ne sont pas soignées, ou si elles sont perdues ou retirées, la prononciation de certains mots peut être compromise. Cela peut entraîner des problèmes scolaires, des difficultés de communication, des moqueries, de la gêne et un manque d’estime de soi.
Développement des mâchoires et guide jusqu’à l’éruption finale
Les dents de lait bien positionnées favorisent la croissance et le développement des mâchoires. Ces dents réservent l’espace dont les éléments permanents ont besoin pour sortir et être correctement positionnés dans l’arc. De plus, ne pas soigner les dents de lait ou les retirer prématurément peut déclencher des problèmes de morsure. En retirant prématurément les dents provisoires, les autres éléments de la bouche se mobilisent pour combler l’écart.
De plus, les dents tordues ou encombrées et d’autres problèmes d’occlusion sont associés à la perte prématurée des dents de lait. Si ces altérations apparaissent dans la zone de morsure, il faudra recourir à un traitement orthodontique pour les corriger.
Esthétique
L’esthétique est une autre fonction des dents de lait que les adultes ne prennent parfois pas en compte. Avoir toutes ses dents en bonne santé améliore l’apparence de l’enfant. On peut avoir l’impression que ce rôle n’est pas très important, mais avoir un sourire soigné évite les moqueries des autres enfants et améliore l’estime de soi et la confiance en soi.
Complications qui naissent du fait de ne pas soigner les dents de lait avec des caries
Ne pas traiter les dents de lait avec des caries en temps opportun peut entraîner certaines complications :
- Douleur : les dents cariées peuvent provoquer une sensibilité ou des douleurs lors de la mastication ou au contact d’aliments froids, chauds ou sucrés. Les élancements aigus et lancinants dans la bouche perturbent les activités quotidiennes de l’enfant, car il est incapable de manger, de jouer, d’apprendre ou de se reposer normalement.
- Infections : les abcès dans la zone radiculaire peuvent compliquer le développement des éléments définitifs qui se forment dans l’épaisseur de l’os. De plus, ils peuvent se propager à d’autres parties du corps et compromettre la santé générale de l’enfant.
- Plus de caries : ne pas traiter les caries des dents de lait génère des conditions bucco-dentaires qui favorisent la poursuite et le développement de la maladie dans les autres dents. Chez les enfants avec une dentition mixte, il existe un risque que la pathologie s’étende aux dents permanentes nouvellement sorties.

Soins dans les dents de lait avec caries
Lorsqu’il s’agit de soigner les dents de lait avec des caries, il existe différentes procédures en fonction des besoins du cas clinique particulier. Lorsque les caries commencent à peine, on peut avoir recours à des traitements de reminéralisation de l’émail. En revanche, si les lésions sont plus importantes et qu’il y a plus de perte de tissu dentaire, des plombages ou des couronnes seront nécessaires. De plus, si la carie a causé des dommages, il est nécessaire de recourir à des endodonties infantiles.
On n’a recours aux extractions dentaires que dans les cas où il n’est pas possible d’effectuer un traitement ou que les dommages à la dent présentent un plus grand risque pour l’enfant.
Quand ne peut-on pas traiter les dents de lait avec des caries ?
Une des raisons de ne pas traiter une dent de lait cariée est quand la dent bouge et est sur le point de sortir. Ce n’est que dans ce cas que le dentiste pédiatrique peut éviter le traitement et attendre que l’élément tombe – ou l’extraire pour éviter les complications. Dans tous les cas, s’il est décidé de ne pas traiter l’élément, il est important d’être conscient des complications possibles. Ce sera toujours le professionnel qui prendra la décision et contrôlera l’évolution du cas.
Le jugement du dentiste
Au moment de décider ce qui convient le mieux à chaque enfant, ce sera l’évaluation des particularités et des besoins de chaque cas qui conduira le dentiste pédiatrique à choisir le meilleur traitement. La meilleure option est de les traiter dès que possible pour éviter d’autres dommages. Sinon, laisser la maladie progresser entraîne des problèmes dans de nombreux aspects de la vie de l’enfant. Le professionnel peut suggérer d’attendre le remplacement dentaire sans faire de traitement, mais seulement si la dent bouge et est sur le point de tomber.
Il est important que les parents emmènent leurs enfants aux examens dentaires semestriels pour détecter à temps tout dommage aux dents. Un diagnostic précoce évite les désagréments et l’inconfort chez les enfants et la nécessité de traitements plus complexes et coûteux à l’avenir.
Toutes les sources citées ont été examinées en profondeur par notre équipe pour garantir leur qualité, leur fiabilité, leur actualité et leur validité. La bibliographie de cet article a été considérée comme fiable et précise sur le plan académique ou scientifique
- AAPD Pediatric Oral Health Research and Policy Center. (2018). Snapshot of America’s children 2018. Available at: https://www.aapd.org/assets/1/7/Childs_Snapshot_2018_web_version.pdf
- Achmad, H., Ramadany, S., Sukmana, B. I., Hanan, N., Hartami, E., Mutmainnah, N., … & Pagala, M. I. (2020). A review of stunting growth in children: relationship to the incidence of dental caries and its handling in children. Systematic Reviews in Pharmacy, 11(6), 230-235.
- Cubero Santos, A., Lorido Cano, I., González Huéscar, A., Ferrer García, M., Zapata Carrasco, M., & Ambel Sánchez, J. L. (2019). Prevalencia de caries dental en escolares de educación infantil de una zona de salud con nivel socioeconómico bajo. Pediatría Atención Primaria, 21(82), e47-e59.
- Finucane, D. (2019). Restorative treatment of primary teeth: an evidence‐based narrative review. Australian Dental Journal, 64, S22-S36.
- Jackson, S. L., Vann Jr, W. F., Kotch, J. B., Pahel, B. T., & Lee, J. Y. (2011). Impact of poor oral health on children’s school attendance and performance. American journal of public health, 101(10), 1900-1906.
- Karki, S., Päkkilä, J., Ryhänen, T., Laitala, M. L., Humagain, M., Ojaniemi, M., & Anttonen, V. (2019). Body mass index and dental caries experience in Nepalese schoolchildren. Community dentistry and oral epidemiology, 47(4), 346-357.
- Organización Mundial de la Salud. (2021). Poner fin a la caries dental en la infancia: manual de aplicación de la OMS. Organización Mundial de la Salud. https://apps.who.int/iris/handle/10665/340445. Licencia: CC BY-NC-SA 3.0 IGO
- Seirawan, H., Faust, S., & Mulligan, R. (2012). The impact of oral health on the academic performance of disadvantaged children. American journal of public health, 102(9), 1729-1734.
- Tickle, M., Milsom, K., & Kennedy, A. (1999). Is it better to leave or restore carious deciduous molar teeth? A preliminary study. Primary Dental Care: Journal of the Faculty of General Dental Practitioners (UK), 6(4), 127-131.
Ce texte est fourni à des fins d'information uniquement et ne remplace pas la consultation d'un professionnel. En cas de doute, consultez votre spécialiste.







